Transforming Heart & Brain Interventions
AI-guided procedural support and robotically enabled procedures for unmet clinical needs.
Heart valve disease and brain stroke
Structural heart diseases and stroke affect millions of patients worldwide and remain leading causes of mortality and disability.
Transcatheter valve therapies and thrombectomy are complex procedures that require advanced operator expertise, limiting access and consistent outcomes for patients worldwide.
Carvolix is redefining structural heart and stroke interventions through AI-guided procedural support and robotically enabled procedures.
Aortic stenosis
Aortic stenosis is a progressive narrowing and calcification of the aortic valve that restricts blood flow from the heart to the body. 3.4% of individuals over 75 years are affected by severe aortic stenosis and require aortic valve replacement.
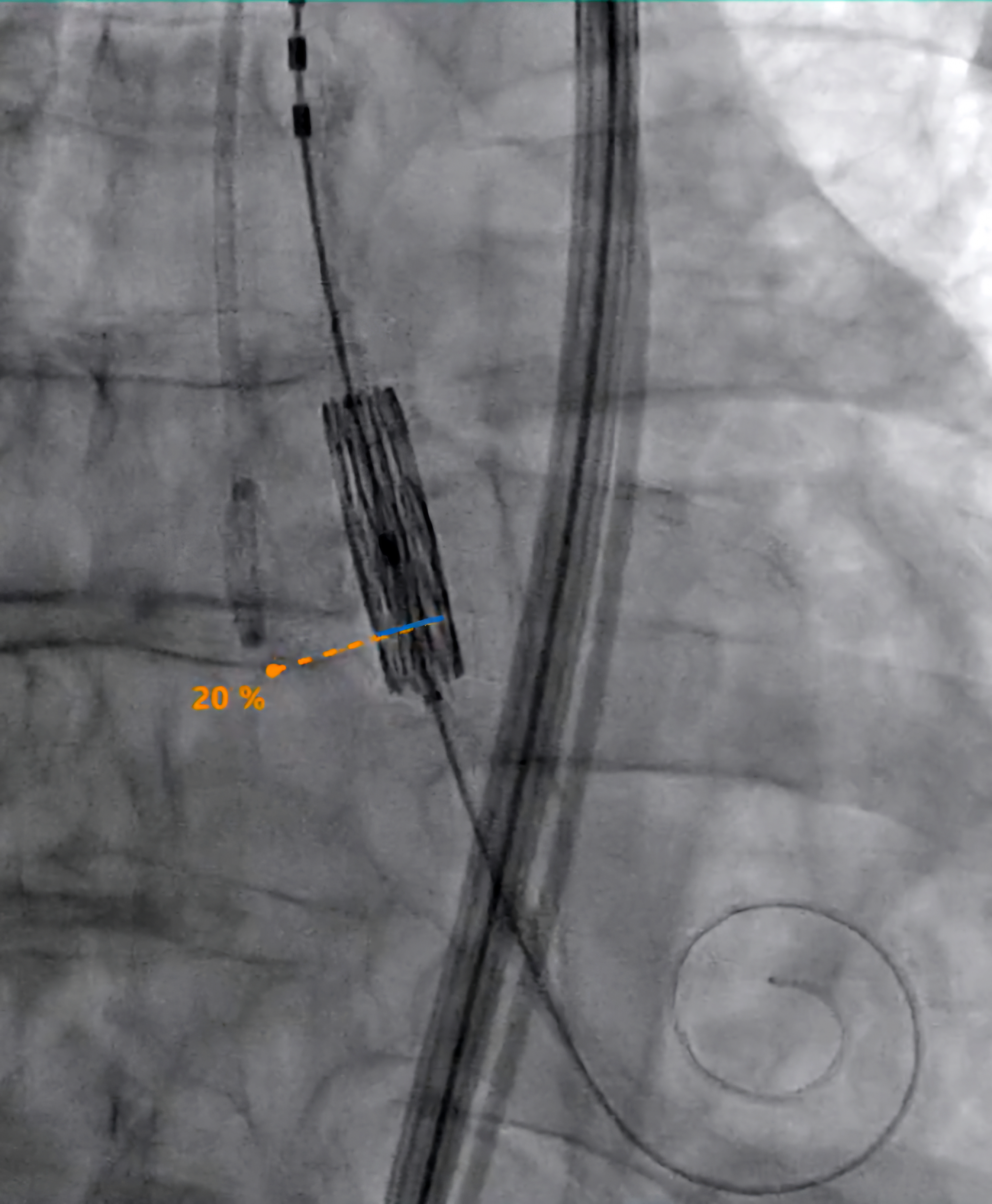
TAVIPILOT Software is an FDA-cleared, easy-to-use, AI-driven intraoperative software platform that tracks anatomical and device landmarks in real-time, enabling precise and accurate heart valve positioning.
It is compatible with all major cardiac imaging systems and commercially available TAVI (Transcatheter Aortic Valve Implantation) valves and integrates seamlessly into the cath lab workflow.
Our proprietary AI platform is trained on more than 5 300 TAVI patients with annotated multimodality datasets including CT, fluoroscopy, and echocardiography. This platform drives continuous algorithm development and paves the way for expansion into additional cardiovascular indications, including mitral and tricuspid valve interventions.
TAVIPILOT Software received FDA clearance on July 2025.
MITRAPILOT
Mitral insufficiency
Mitral regurgitation is a heart valve disorder in which the mitral valve fails to close properly, allowing blood to flow backward during heart contraction, reducing the heart’s efficiency in pumping blood to the body. 160M patients are today affected by Mitral Regurgitation (MR) representing ~2% of the global population
MITRA-PILOT combines advanced image guidance, AI, robotics, and the proprietary EPYGON biomimetic transcatheter mitral valve to autonomously deliver prosthetic mitral valve.
Epygon is the first “physiological” transcatheter mitral valve restoring the natural blood flow vortex in the left ventricle. It fosters recovery of ventricular function, especially in fragile patients with a seriously impaired cardiac condition.
By integrating AI guidance and robotic precision with biomimetic valve design, MITRA-PILOT aims to deliver a differentiated and physiologically optimized solution for mitral valve replacement.
Epygon makes it possible to generate blood flow closest to normal flow inside the left ventricle, avoiding in particular the stagnation of blood inside the ventricle. Furthermore, this asymmetrical valve, lower in height on the side where the left ventricle ejects, just under the aorta valve, optimizes the ejection function. It doesn’t impede the aortic valve, as with some other devices.
Professor Christian Latremouille
Director of Surgical Business at Carmat, previously Professor of Cardiac Surgery at Georges Pompidou European Hospital in Paris, France.
This product is under clinical investigation
ArteDrone
Stroke
Ischemic stroke occurs when a blood clot blocks an artery supplying blood to the brain, depriving brain tissue of oxygen and nutrients, which can lead to permanent neurological damage or death if not promptly treated.
11 million people worldwide experience stroke each year, making it the second leading cause of death and the first cause of acquired handicap.
Ischemic stroke is a time-sensitive emergency in which every minute of delayed treatment results in the loss of millions of neurons. Mechanical thrombectomy is the gold standard for clot removal, yet access remains limited due to the complexity of navigating the tortuous cerebral vasculature and the high level of specialized expertise required.
ARTEDRONE addresses this critical unmet need through AI-driven magnetic mini-robotic navigation designed to simplify and standardize thrombectomy procedures.
Using an autonomous magnetic guidance system and a proprietary micro-robotic catheter, the platform enables precise navigation to the clot and controlled thrombus removal.
By minimizing technical barriers and reducing reliance on highly specialized neuro-interventional skills, ARTEDRONE aims to expand access to stroke treatment and enable more centers to deliver timely, life-saving care.
Mechanical thrombectomy is by far the most efficient treatment for large vessel stroke but is currently highly underused due to the fact that it is often only performed at specialized stroke centers, which denies life-saving treatment access to millions of patients.
Professor Frédéric Clarençon
Head of the Department of Interventional Neuroradiology at Pitié Salpêtrière Hospital of Paris, FR
- Mitral regurgitation results in blood leaking through the mitral valve each time the left ventricle contracts.
This potentially deadly disease is highly prevalent and eventually leads to heart failure. - Kalios™ is the first mitral annuloplasty device that can be percutaneously adjusted to optimize valve repair at any time after implant, repeatedly, and while the heart is beating, thus avoid the need for further surgery.
- Urinary Incontinence, a widely spread condition with over 400 million patients affected, remains a taboo in many countries, with few innovations in the field.
- Artus is the first electro-mechanical sphincter that is adjustable for each patient need and very easy to use.
- Artus has been designed for both women and men patients. It is implanted by a minimally invasive procedure and can be easily managed by the patients thanks to its remote control.
